고난이도 교정 결손치 교정




결손치 교정

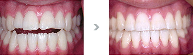
치아 사이의 공간을 폐쇄하는 교정 치료

선천적인 원인 또는 발치와 같은 후천적인 이유로 한 개 또는 그 이상의 치아가 결손되어 있는 경우
결손된 공간으로 인접치아가 쓰러지거나 치아 사이의 틈이 벌어져 교합이 맞지 않게 됩니다.
이런 경우 결손된 공간으로 인해 무너진 치열을 교정치료를 통해 회복한 후 결손치아 부위를
임플란트 또는 보철치료로 회복하는 것이 일반적인 방법이지만 이렇게 할 경우
교정치료와 더불어 임플란트 또는 보철치료의 병행으로 인한 치료비의 상승으로 인하여 비용적인 부담이 증가하게 되며
임플란트 또는 보철치료는 영구적일 수 없기 때문에 임플란트와 보철치료에 따른 비용적인 부담은 단순히 일회성에 그치지 않게 됩니다.

서울S치과교정과는 결손된 공간을 교정치료를 통해 폐쇄하는 방법으로 임플란트와 보철치료를 최소화하고
가급적 기존 치아만으로 치아를 구성하는 교정치료를 지향합니다.


온라인상담 네이버톡톡 카톡상담