어떤 교정 장치로 하는지가 중요한가요?
교정 장치의 종류나 형태에 따라서 치료의 결과가 결정되는 것은 아닙니다. 교정치료의 결과를 보장하는 것은 전문의의 진단과 치료계획에 있기 때문에 교정 장치는 치료의 도구에 불과하다고 볼 수 있습니다. 그러나 환자들의 구강환경이 각각 다르고 장치 소재의 장단점도 분명 존재하기에 전문가의 상담을 통해 각자 구강환경에 맞는 장치로 선택하여 교정치료를 한다면 보다 효율적이고 편안한 진료를 받을 수 있습니다.
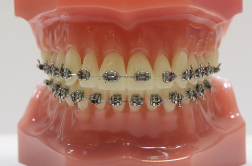
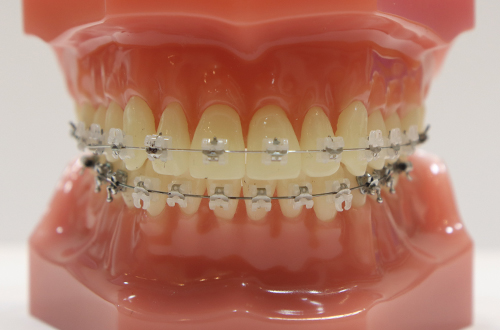
메탈 장치
단단하고 견고한 장치 가장 오래된 교정 장치로 치아 이동에 효율적이고 비용 또한 저렴하여 심미적인 만족감 보다는 단단하고 견고한 장치를 선호하시는 분들에게 효율적입니다.
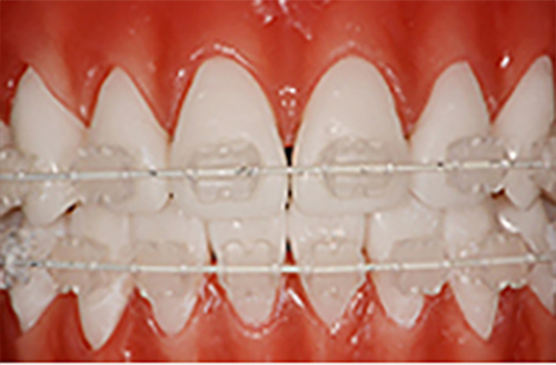
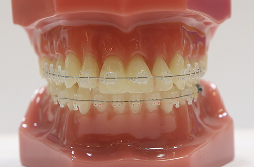
세라믹 장치
심미적인 만족감, 경제적 메탈장치의 심미성을 보완한 장치로 자가 결찰 장치보다 비용이 저렴하여 심미적인 만족감과 동시에 경제적인 장치를 선호하시는 분들에게 효율적입니다.
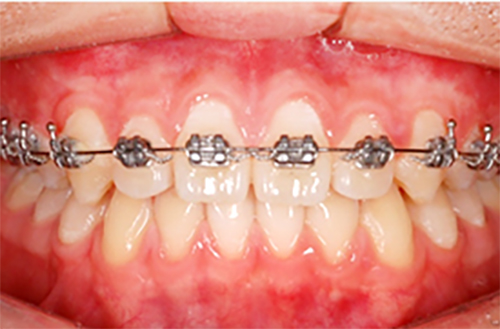
클리피씨 장치
보조철사가 없어 편리한 관리 자가 결찰 장치로 치아에 가해지는 힘이 일정하여 비 자가 결찰 장치(메탈,세라믹)보다 통증이 경미한 편이기는 하나 유의미한 차이가 있지는 않습니다. 다만 별도의 보조철사가 없어 구강환경 관리에도 편리하기 때문에 통증에 민감하시고 편리한 장치를 선호하시는 분들에게 효율적입니다.
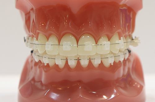
클라리티 장치
클리피씨보다 심미적 자가 결찰 장치로 클리피씨와 마찬가지로 통증이 경미하고 편리합니다. 중간에 메탈 클립이 없어 클리피씨보다 심미적이기 때문에 심미적인 자가 결찰장치를 선호하시는 분들에게 효율적입니다.
콤비 장치
설측교정의 단점 보완 설측 교정과 순측 교정의 중간 형태로 윗니는 치아 안쪽으로 장치를 부착하는 방식인 설측 교정으로 아랫니는 치아 바깥쪽으로 장치를 부착하는 방식인 순측 교정으로 진행하는 것을 말합니다. 설측 교정의 단점인 혀의 불편함, 발음 등을 보완할 수 있는 방법이며 전체 설측 교정보다는 경제적입니다.
설측 장치
가장 심미적인 장치 윗니 아랫니 모두 치아 안쪽으로 장치를 부착하는 방식을 말합니다. 윗니 아랫니 모두 치아 안쪽으로 장치를 부착하기 때문에 장치가 외부로 드러나지 않아 아무도 모르게 교정치료를 할 수 있다는 장점이 있습니다. 발음,이물감 등이 불편할 수 있고 고가의 치료에 속하지만 가장 심미적인 장치이기 때문에 심미성을 가장 중요시 여기는 분들에게 효율적입니다.
세라핀 장치
치아에 교정 장치를 직접 부착하여 교정이 이루어지는 방식이 아니라 투명한 재질로 제작된 가철성 장치를 단계별로 착용하여 치아 배열을 하는 투명교정을 말합니다.세라핀 특징
세라핀이란 디지털 스캔 데이터를 바탕으로 보다 정밀한 진단과 3D프린팅 기술로 제작되는 맞춤형 디지털 투명교정장치를 말하며 환자분이 장치를 착용하는 동안 편안하고 교정 치료효과가 극대화 됩니다.
100% 디지털 교정장치
치은선 라인 컷팅
다중층 시트지 소재로 오래감
세라핀 치료과정
STEP 1 검사 & 진단
STEP 2치료과정 분석
STEP 3교정장치 제작
STEP 4치료시작
STEP 5정기진료세라핀 치료대상
환자 개개인에게 맞춤형으로 제작되기 때문에 교정이 필요한 유아에서 중장년에 이르기까지 전연령에서 받으실 수 있습니다.